یک آزمایش واجب برای افراد سیگاری بالای ۵۰ سال

دانشمندان میگویند با اینکه هنوز سرطان ریه کشندهترین سرطان است، اما پیشرفتهای عمده در غربالگری، جراحی و درمان شخصیسازیشده به بیماران بیشتری کمک میکند تا عمر طولانیتری داشته باشند.
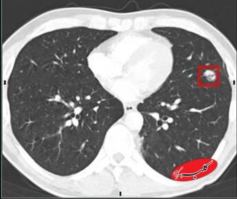
به گزارش همشهری آنلاین متخصصان میگویند غربالگری سرطان ریه اکنون به قدرتمندترین ابزار برای کاهش مرگ و میر ناشی از سرطان ریه بدل شده است. این غربالگری که با سیتیاسکن با دوز پایین اشعه انجام میشود، میتواند سرطان ریه را در مراحل اولیه تشخیص دهد و خطر مرگ را تا ۲۰ درصد کاهش دهد.
دستورالعملهای فعلی غربالگری سالانه را برای بزرگسالان ۵۰ سال به بالا که سیگار میکشند یا قبلاً سیگار میکشیدند، توصیه میکنند.
با اینکه سیگار کشیدن بزرگترین عامل خطرساز برای سرطان ریه است، تا ۲۰ درصد از موارد سرطان ریه در افرادی رخ میدهد که هرگز سیگار نکشیدهاند. سایر علل زمینهساز سرطان ریه ممکن است شامل قرار گرفتن در معرض گاز رادون، آزبست و دود آتشسوزی و نیز سابقه خانوادگی سرطان ریه باشند
دانستن عوامل خطرساز برای سرطان ریه و علائم آن مهم است و افراد باید مراقب سرفههای مداوم، سرفههای همراه با درد قفسه سینه یا سرفههای خونی باشند.
برای سرطان ریه در مراحل اولیه، جراحی همچنان بهترین گزینه برای درمان است. امروزه، در اکثر موارد از تکنیکهای جراحی کمتهاجمی یا رباتیک استفاده میشود که فقط به برشهای کوچک نیاز دارند.
این رویکرد منجر به درد کمتر پس از جراحی، مدت اقامت کوتاهتر در بیمارستان و بازگشت سریعتر به زندگی عادی برای بیماران میشود.
علاوه بر این، پزشکان اکنون میتوانند تومورهای سرطانی را برای تغییرات ژنی خاص آزمایش کنند و بیماران را از لحاظ استفاده داروهای خاص یا روشهای ایمنیدرمانی تطبیق دهند.
امروزه دیگر همه سرطانهای ریه را به یک روش درمان نمیشوند و با آزمایش نشانگرهای زیستی خاص و درمانهای هدفمند حتی برای سرطانهای در مراحل پیشرفته شاهد طولانیتر شدن عمر بیماران در حد سالها هستیم.
پژوهشگران میگویند ترک سیگار بزرگترین قدمی است که هر کسی میتواند برای کاهش خطر دچار شدن به سرطان ریه بردارد و همچنین به افرادی که از قبل به سرطان دچار شدهاند، کمک میکند. به گفته آنها، ترک کردن سیگار کار سختی است، اما مزایای سلامتی آن ارزشش را دارد و امروزه وسائل و پشتیبانیهای خوبی برای کمک به افراد در ترک سیگار در دسترس است.
بنابراین اگر بالای ۵۰ سال هستید و سابقه سیگار کشیدن دارید، از پزشک خود در مورد چگونگی غربالگری سالانه سرطان ریه سوال کنید، این کار میتواند جان شما را نجات دهد.
گردآوری: کلبه سرگرمی
شما چه نظری دارید؟ دیدگاه خود را در سایت کلبه سرگرمی بنویسید.



